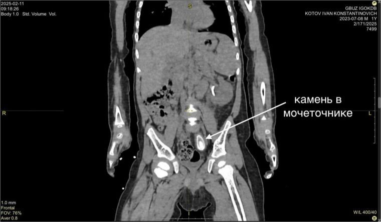
Камень в 3 см удалили из мочеточника маленького жителя Усть-Кута

Сложную операцию провел знаменитый на весь мир иркутский хирург, главный врач Иркутской областной детской клинической больницы Юрий Козлов.

post-22771 thumbnail
  • 12:05
  • 27.03.2025
  • ОбществоУсть-Кут
  • 0
  • 684

Первые признаки заболевания жительница Усть-Кута обнаружила у сына Вани еще в декабре прошлого года. На обследовании в Иркутске поставили диагноз — большой камень в нижней трети левого мочеточника размером около 3 на 1,5 см и вызванный им блок почки.

Размер камня удивил медиков — это нетипично для таких маленьких пациентов.

— Попытка внутрипросветного лечения была безуспешна — устье мочеточника не пропускало даже самую маленькую оптическую систему цистоскопа. После месяца непростого лечения с использованием нескольких антибиотиков была выполнена операция с применением нашего излюбленного подхода без разрезов — лапароскопии, — рассказывает Юрий Козлов.

Операция прошла успешно, и сегодня Ваня чувствует себя прекрасно.

Администрация УКМО

Данное сообщение (материал) создано и (или) распространено некоммерческими организациями и (или) средствами массовой информации, требующими полной отмены законодательства об иностранных агентах

Вы сможете добавить комментарий после авторизации

Присоединяйтесь! Мы в социальных сетях:

Вам также может быть интересно:

post-35031 thumbnail

#Топ новостькоррупцияКриминалПолитикаУсть-Кут

Криминальное чтиво Усть-Кута. Кейс педофила Тышкивского. Часть первая

После задержания и ареста бывшего председателя комитета по сельскому хозяйству администрации Усть-Кутского района Михаила Тышкивского, подозреваемого в педофилии, в редакцию хлынул шквал информации, касающейся криминальной деятельности чиновника. При чем диапазон преступлений весьма широк и разнообразен, от изнасилований мужчин и педофилии, до убийств и сокрытия убийств, а так же махинаций с бюджетными деньгами. Сегодня мы начнем по частям публиковать все кейс, отсортировав его годам и аналогичным сообщениям о преступлениях, поступивших в редакцию "УК24" Судя по всему, правоохрантиельные органы в Усть-Куте, не заинтересованы в расследовании всех сообщений о преступлениях, поступивших в отношении бывшего сотрудника полиции и действующего чиновника Михаила Тышкивского и его сообщников. Масштабное расследование может выявить такой уровень коррупции и укрывательства на уровне Иркутского главка, что неприятности могут быть у очень многих действующих сотрудников в различных надзорных ведомствах. Тем не менее, мы на сколько можем анализируем поступающую информацию, по возможности проверяем ее через свои источники. Мы обязательно опубликуем весь доступный материал по предполагаемым преступлениям, совершенных группой под руководством Тышкивского. Начнем с самых тяжких преступлений, которые имели место и до сих пор не раскрыты, а так же затронем сообщения о тяжких преступлениях против личности и половой неприкосновенности, о которых нам сообщили. ЧАСТЬ ПЕРВАЯ ЯНТАЛЬСКАЯ КУЩЕВКА ИЛИ БРАТ 2 УБИЙСТВА: По предварительным данным, полученными нашей редакцией, в поселках Янталь и Ручей, за период с 1999 года и по 2026 год, нераскрытыми числятся 5 убийств и объявлены в розыск несколько местных жителей, которые числятся как без вести пропавшие. По некоторым из этих преступлений, местные жители обвинили Степана Тышкивского, родного брата Михаила, а так же его самого. Вот некоторые из этих преступлений:
  1. Уголовное дело №31202 от 14.09.2001 года, возбужденного по статье 105 части 2 УК РФ, по факту убийства двух дальнобойщиков азербайджанцев Файзиева и Аскерова и обнаружения их трупов в реке Кута, с признаками насильственной смерти.
  2. Уголовное дело № 70645 от 21.05.2002 года, возбужденного по статье 105 части 1УК РФ, по факту убийства Мезенцева и обнаружения в реке Кута его трупа с признаками насильственной смерти.
  3. В 2004 году Михаил Тышкивский, будучи сотрудником милиции, скрыл убийство гражданина Волкова, которого сбросили с моста его брат Степан Тышкивский и еще несколько человек,  и оформил это как несчастный случай.
  4. В 2005 году по улице Киевская 6 в квартире 10, был убит Зыков. Расследованием занимался Михаил Тышкивский и дело не раскрыто до сих пор, хотя весь поселок знает, что Зыкова убил подручный Тышкивского Омельченко.
  5. Примерно в 2002 или 2003 годы, подручные Тышкивского Бузмакин и Батюк, забили до смерти домкратом лесовозчика из поселка Покосное, который работал в Янтале вахтовым методом. Конфликт произошел после того, как отморозкам показалось, что лесовозчик специально не уступал им дорогу. Уголовное дело по этому убийству тоже не раскрыто, хотя есть свидетели убийства.
  6. Есть еще пропавший без вести 17-летний парень, сосед Тышкивского. Вышел из дома и пропал навсегда. Розыскное дело приостановлено.
Во всех этих убийствах, кроме Степана Тышкивского, со слов местных жителей принимали участие и члены банды Михаила Тышкивского, выполнявшие различные его поручения. Неоднократно называли фамилии Бузмаков, Бураков, Омельченко, Сушинский, Кравец. ИЗНАСИЛОВАНИЯ:
  1. Самый трудный кейс из всех сообщений, это как раз про изнасилования. Нам назвали почти два десятка фамилий молодых людей из поселков Янталь и Ручей, которых якобы изнасиловал Михаил Тышкивский. При чем большинство потерпевших на момент изнасилования, были еще несовершеннолетними и первоначально их задерживали за совершение мелких преступлений. Мы даже созвонились с некоторыми из списка, но они естественно, все отрицали и говорили, что их оговорили. Правда некоторые сообщили, что их перепутали с другими людьми, которых якобы точно насиловал Тышкивский. Кстати, в списке две фамилии ближайшего окружения Степана Тышкивского и они фигуранты по нераскрытым убийствам. Так что если следователи все же начнут расследовать преступления в Янтале прошлых лет, то банде Тышкивского  могут смело дать оперативное название "Галина Бланка".
  2. Кроме старых сообщений об изнасилованиях , есть и совсем свежее, от лета 2025 года. Нам назвали фамилии двух подростков с диагнозом 11 и 14 лет, которых прошлым летом Михаил Тышкивский катал на машине и даже забирал к себе ночевать в Закуту. Мама у ребятишек тоже с диагнозом и не подозревала ничего плохого. Данные по ним мы передадим для проверки правоохранительным органам.
  3. Оказывается, тема нетрадиционных отношений с гастарбайтерами, у Михаила Тышкивского очень давняя. До пастушка в Закуте, у него была долгая лавстори с рабочим с автомойки около магазина Апельсин. Он якобы тоже в начале их отношений был несовершеннолетним.
  4. Мы  уже писали о зафиксированном свидетелями случае сексуального насилия Михаилом Тышкивским, над сотрудником милиции в 2006 году. Так вот судя по всему это был не единичный случай. Кроме этого, в полицейском списке близких личных контактов Михаила Тышкивского, с походами в баню и алкогольными чисто мужскими вечеринками, высветились высокопоставленные сотрудники полиции города. Как бывшие так и действующие. По ним мы сделаем отдельный материал, после дополнительной проверки.
Чтобы не перегружать читателей информацией, мы остальной кейс Тышкивскгого разберем в следующих частях в ближайшее время. Там мы проанализировали горизонтальные связи и нашли много интересного, среди его ближайшего круга. Не удивительно, что эти связи привели нас не только в предпринимательскую среду города, но и в районную администрацию, где Михаил Тышкивский до сих пор числится на работе и судя по всему в этом месяце получит годовую премию за прошлый год, из бюджета Усть-Кутского района. продолжение следует... Ариэль Эмет Специально для «УК24» на фото : из открытых источников поселок Янталь Канал в Телеграмм Наш Инстаграм Страничка в Одноклассник  
7449
0
04.02.2026 в 04:52
post-34992 thumbnail

#Топ новостьУсть-КутЭкология

Химический запах в Усть-Куте теперь навсегда?

Неприятный запах химии в городе, все чаще появляется в различных микрорайонах города, особенно вдоль реки Вопросов касающихся экологии в городе и которые интересуют устькутян, все больше, но ответов на них нет и власти предпочитают делать вид, что ничего не происходит. Жалобы на химический запах, особенно по утрам и в жилом секторе в низине вдоль реки, все чаще обсуждается городских пабликах. Все согласны с тем, что этот запах может быть небезопасен не только аллергикам, но и абсолютно всем. Мы по этому поводу проводили опрос у себя в канали и больше половины респондентов уверены, что этом неприятный химических запах, вреден для здоровья. Правда в обсуждениях нашлись и те, кто так яростно защищал ИЗП, что они в конце концов договорились до того, что этот запах может быть даже полезен людям. Тем не менее, и если подойти к теме без шуток, то безобидный и просто неприятный запах меркаптана, регулярные утечки которого были при погрузке сжиженного газа в вагоны на заводе, сменился совершенно другим химическим запахом. Судя по всему, такая вонь теперь будет в городе постоянной при розе ветров с сторону Усть-Кута с ИЗП. Насколько она вредна для здоровья, можно будет узнать через какое-то время, оценив состояние здоровья жителей микрорайона Мостоотряд, которые больше всего страдают от этого запаха. В принципе так всегда и было, что пока люди не поднимали тревогу о своем ухудшимся здоровье, власти никак не реагировали на проблему. В Братске например почти вымер от рака целый микрорайон около ЦБК и БРАЗа, и только тогда там построили онкоцентр, а людей отселили из опасной зоны. При сегодняшней власти в Усть-Куте, являющейся ставленниками именно химического завода ИНК, ждать от них хотя бы простого анализа рисков от нового опасного производства, не стоит от слова совсем. Они в этом крайне не заинтересованы, а независимых экологов в стране запретили и объявили нежелательными организациями. Мы конечно попытаемся по своим каналам узнать аналитику по выбросам, но это не быстрый процесс. Пока же жителям города, просто придется иногда дышать химией и верить на слово владельцам химического производства, что все хоть и не полезно, но все же безопасно для здоровья. Ариэль Эмет Специально для «УК24» фото : «УК24» Канал в Телеграмм Наш Инстаграм Страничка в Одноклассник  
793
0
03.02.2026 в 04:59
post-34967 thumbnail

#Топ новостькоррупцияКриминалПроисшествияУсть-Кут

В Усть-Куте у чиновника-педофила застрелился брат

Степан Тышкивский, родной брат чиновника районной администрации Усть-Кута Михаила Тышкивского, обвиненного в педофилии , свел счеты с жизнью   По информации инсайдера из администрации поселка Янталь, предоставленных "УК24" на условиях кофидициальности, стало известно о суициде Степана Тышкивского. По предварительным данным, Степан Тышкивский, водитель главы администрации поселка Янталь, застрелился у себя в гараже в ночь на понедельник. Напомним, что его родной брат Михаил Тышкивский, задержан СК по обвинению в педофилии. Кроме этого, после ареста брата, начали вскрываться подробности преступлений прошлых лет, в том числе и убийств, в которых участвовал Степан Тышкивский. В то же время  его брат Михаил Тышкивский, работавший тогда в правоохранительных органах, помогал скрывать эти преступления и они до последнего времени оставались не раскрытыми. Более подробную информацию о преступной деятельности братьев Тышкивский, мы опубликуем на этой неделе, после проверки всех фактов. Ариэль Эмет Специально для «УК24» фото :  из открытых источников Канал в Телеграмм Наш Инстаграм Страничка в Одноклассник  
7178
0
02.02.2026 в 09:52
post-34957 thumbnail

#Топ новостькоррупцияКриминалПолитикаРегион38Усть-Кут

Приключения профуры на фронте. Экс-чиновницу из Усть-Кута этапировали в Иркутск из Украины

История с привлечением к уголовной ответственности бывшей заммэра города, получила продолжение Как стало известно "УК24", бывшую заместителя главы администрации города Усть-Кута Ольгу Шалакову, привезли из Украины в Иркутск, для проведения следственных действий. Ранее мы писали о том, что после увольнения из городской администрации, Ольга Шалакова устроилась в одно из бюджетных предприятий Иркутска и там попалась на махинациях с финансами. После этого ее привлекли к ответственности и она решила уйти на фронт, выучившись на медсестру. Это ей почти удалось и аферистка отбыла в войска по контракту, но надолго там не задержалась. По запросу следователей СК ее вернули в Иркутск, для предъявления обвинения и последующего суда. Кратко напомним, чем запомнилась Ольга Шалакова устькутянам: "...Поговорка о том, что сколько веревочке не виться, стала актуальной для бывшей устькутской чиновницы Ольги Шлаковой. Ее в 2017 году в Усть-Кут релоцировали из областного центра товарки по бюджетным аферам, из регионального Минфина. Продержалась она у нас ровно до 2021 года и запомнилась не столько как профессионал высокого уровня, а как скандалистка и аферюга. Сразу после приезда в Усть-Кут, Шалакова в хлам разругалась с соседями по квартире, которую ей арендовала городская администрация. Скандал оказался публичным, так как чиновница орала матом на соседей и грозилась мх выселить из приватизированной квартиры, а ее сынуля даже ударил соседку. После этого заместитель главы города решила приватизировать квартирку, но тут об афере узнали мы и подняли шум. Прокуратура проверила факты и обязала городскую администрацию расторгнуть с Шалаковой договор и вернуть квартиру муниципалитету...." Чем закончится эпопея с судом над нашей экс-чиновницей, мы сообщим по мере поступления информации. Ариэль Эмет Специально для «УК24» фото :  из открытых источников Канал в Телеграмм Наш Инстаграм Страничка в Одноклассник    
4279
0
02.02.2026 в 05:12